Tekden’de başarılı çalışmalara imza atan radyoloji uzmanından hayati tespit
SAĞLIK 7.01.2026 09:06:03 0

Tekden’de başarılı çalışmalara imza atan radyoloji uzmanından hayati tespit

Tekden’de başarılı çalışmalara imza atan radyoloji uzmanından hayati tespit

Özel Denizli Tekden Hastanesi’nde görev yaptığı dönemde de başarılı çalışmalara imza atan Radyoloji Uzmanı Prof. Dr. Nevzat Karabulut, kalpteki gizli deliklerin hayatı tehdit eden paradoks emboliye neden olabildiğini ortaya koydu.

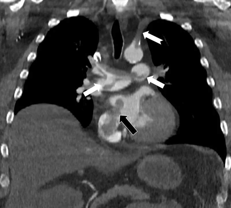
Kalp ve akciğer görüntülemesi alanındaki uluslararası bilimsel çalışmalarıyla tanınan Radyoloji Uzmanı Prof. Dr. Nevzat Karabulut, dünyanın önde gelen tıp dergilerinden Radiology dergisinin 2025 Kasım sayısında yayımlanan "Paradoxical Embolism with Clot-in-Transit in Atrial Septal Defect" adlı çalışmasında, penis ameliyatından 5 gün sonra ani göğüs ağrısı, nefes darlığı ve kol uyuşması şikâyetiyle hastaneye başvuran 60 yaşındaki bir hastada, daha önce fark edilmemiş kalp odacıkları arasındaki bir delikten geçen pıhtının hayati tehlike oluşturduğunu ortaya koydu.

Bir dönem Özel Denizli Tekden Hastanesi’nde de görev yapan Prof. Dr. Nevzat Karabulut’un yaptığı çalışmada; akciğerin bilgisayarlı tomografi anjiyografisi sayesinde toplar damarlardan kaynaklanan pıhtının akciğer damarlarını tıkaması yanında, kalpteki delik nedeniyle kalbin sağ tarafından sol tarafına geçerek ana atardamara ulaştığı ve sol kol damarını tıkadığı gösterildi.

Emboli görüntülemesi konusunda çok sayıda bilimsel çalışması bulunan Prof. Dr. Karabulut, genelde bacak damarlarından kaynaklanan pıhtıların ölümcül olabilen akciğer embolisine yol açması yanında, kalp deliği olan hastalarda ana atardamar yoluyla beyin, kol ve bacak gibi vücudun diğer bölgelerine de geçerek ani damar tıkanmasına (paradoks emboli) bağlı bulgulara yol açtığını belirtti. Prof. Dr. Karabulut’un çalışmasında nedeni bilinmeyen pıhtı atmalarında kalpteki gizli deliklerin mutlaka araştırılması gerektiği vurgulanarak ekokardiyografi ve bilgisayarlı tomografi tetkiklerinin erken ve doğru tanı koymada hayat kurtarıcı rolüne dikkat çekildi.

Sarıyer’de motosikletiyle denize düşen adam hayatı...

Anadolu Otoyolu’nda aynı istikamette giden otomobi...

’Dur’ ihtarına uymadı, 122 bin lira ceza yedi

Edirne’de sağanak yağış, su baskınlarına yol açtı

Kartal’da 5 katlı binanın çatısında yangın

Otomobil kanala uçtu: 1 yaralı

Kayseri’de kesinleşmiş hapis cezasıyla aranan 3 şa...

Nevşehir’de devrilen motosikletin sürücüsü yaralan...

Edirne’de minibüs sulama kanalına düştü: Mahsur ka...

Polise çarpıp kaçtıktan sonra olay yerinde yakalan...

Hisarcık’ta otomobil ile motosiklete çarpıştı: 2 y...

ABD Göçmenlik ve Gümrük Muhafaza Dairesi ajanları ...

Minibüsle çarpışan motosiklet su kanalına devrildi...

Malatya’da şantiyede korkutan yangın: 2 yaralı

Eski belediye başkan yardımcısının cinayet şüpheli...

Bahçelievler’de kamyonun çarptığı araç fırına gird...

Ders saatinde öğrencileri evine götürüp temizlik y...

Müstakil ev alevlere teslim oldu: Yanan evini gözy...

Mardin’de iki kardeşin evde ölü bulunmasına ilişki...

İstinat duvarı çöken binadaki vatandaşlar tahliye ...

Fren yerine gaza bastı, 2 kişi yaralandı

Orman yangınında hasar gören ağaçları taşıyan tır ...

Husumetli 3 şahıs baba ve oğula saldırmış

Samsun’da motosiklet servis minibüsüne çarptı: 1 y...

İki otomobil çarpıştı: 1 yaralı

Eski Sürmene Belediyesi Başkan Yardımcısı bıçaklı ...

Arnavutköy’de cami avlusunda yaşlı adama silahlı s...

Bursa korkutan yangın: Baraka ve minibüs alev topu...

Kırşehir’de DEAŞ operasyonu: 4 gözaltı

Kayseri’de okulla ilgisi olmayan 12 şahıs sorgulan...

İnegöl’de bıçaklı kavga: 1 yaralı

Karadeniz’de isabet alan petrol tankeri İnebolu’da...

Pınarhisar’da park halindeki otomobil alevlere tes...

Tekirdağ’da 3 uyuşturucu taciri tutuklandı

Hatay’daki zincirleme trafik kazasında yaralı sayı...

Güngören ve Zeytinburnu’nda 517 kilogram uyuşturuc...

Hatay’da zincirleme trafik kazası: 1’i ağır 11 yar...

Konya’da öldürdüğü kadını bahçeye gömen sanığa ağı...

Ailesine ziyarete gelen genç sobadan sızan gazdan ...

Tokat’ta araç parçası ve şase değiştirenlere opera...

İzmir’de olumsuz hava şartları nedeniyle vapur sef...

Mardin’de bebekli anneye ve çocuğa saldıran şahıs ...

Gaziosmanpaşa’da avize atölyesinin deposunda yangı...

Diyarbakır’da rahatsızlığı bulunan vatandaş, janda...

Samsun’da silahlı tehdit ve zorla para alma iddias...

Bilecik’te meydana gelen trafik kazasında 2 kişi y...

Yaya geçidinden geçen 2 kadına otomobil çarptı

Kırşehir’de uyuşturucu operasyonu: 10 gözaltı, 1 t...

Afyonkarahisar’da son bir haftada çeşitli suçlarda...

Jandarmadan uyuşturucu tacirlerine darbe: 1 tutukl...

Çayırova’ya sismik izolatörlü hastane

Sanal kumarda ailesinin mal varlığını kaybeden öğr...

Görme engelli öğrenci, yapay zeka asistanı sayesin...

Gold Emlak dolandırıcılığı sanıklarına ceza yağdı

Gaziosmanpaşa’da işyerinde yangın çıktı, itfaiye e...

Ocakta unutulan yemek yangına sebep oldu

Bolu’da elektrik kaynaklı çıkan baca yangını, etra...

Edirne’de milyonluk kaçak ürünler polis operasyonu...

Balkondaki bıçaklı kriz özel harekat operasyonuyla...

Aydın’da kaçak ayakkabı operasyonu

Ankara’da yediemin otoparkındaki tır yangını kontr...

Aksaray’da 2 katlı binada yangın: 5 kişi dumandan ...

Arnavutköy’de boş binanın çatısı alevlere teslim o...

Bayrampaşa Kaymakamlığı’nda yangın paniği: Çalışan...

Husumetlisine ateş açarken duraktaki kadını da yar...

Bozbey’e saldırı girişiminde bulunan 2 kişi adli k...

Bursa Mehter takımı Paris’te sahne aldı

Araban’da otomobil ile kamyonet çarpıştı: 2 yaralı...

10.7° / 2.5°

Sarıyer’de motosikletiyle denize düşen adam hayatını kaybetti

Anadolu Otoyolu’nda aynı istikamette giden otomobil ile minibüs çarpıştı: 1 ölü, 3 yaralı

’Dur’ ihtarına uymadı, 122 bin lira ceza yedi

Edirne’de sağanak yağış, su baskınlarına yol açtı

Kartal’da 5 katlı binanın çatısında yangın

Otomobil kanala uçtu: 1 yaralı

Kayseri’de kesinleşmiş hapis cezasıyla aranan 3 şahıs yakalandı

Nevşehir’de devrilen motosikletin sürücüsü yaralandı

Edirne’de minibüs sulama kanalına düştü: Mahsur kalanlar kurtarıldı

Polise çarpıp kaçtıktan sonra olay yerinde yakalanan şahıs tutuklandı

Hisarcık’ta otomobil ile motosiklete çarpıştı: 2 yaralı

ABD Göçmenlik ve Gümrük Muhafaza Dairesi ajanları bir kadını vurarak öldürdü

Minibüsle çarpışan motosiklet su kanalına devrildi: 2 kişi yaralandı

Malatya’da şantiyede korkutan yangın: 2 yaralı

Eski belediye başkan yardımcısının cinayet şüphelisi yakalandı

Bahçelievler’de kamyonun çarptığı araç fırına girdi, o anlar kamerada

Ders saatinde öğrencileri evine götürüp temizlik yaptıran öğretmene soruşturma

Müstakil ev alevlere teslim oldu: Yanan evini gözyaşları içinde izledi

Mardin’de iki kardeşin evde ölü bulunmasına ilişkin bir şüpheli gözaltına alındı

İstinat duvarı çöken binadaki vatandaşlar tahliye edildi