Bayburt’ta 50 yaşındaki hasta erken tanıyla sağlığına kavuştu
SAĞLIK 8.10.2025 09:00:28 0

Bayburt’ta 50 yaşındaki hasta erken tanıyla sağlığına kavuştu

Bayburt’ta 50 yaşındaki hasta erken tanıyla sağlığına kavuştu

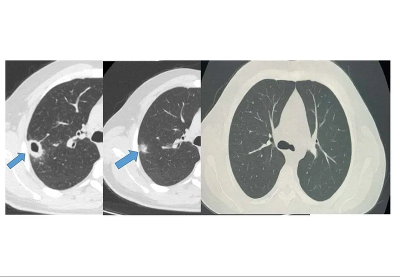
Bayburt Devlet Hastanesine öksürük ve balgam şikayetiyle başvuran 50 yaşındaki hastanın akciğerinde kitle benzeri bir doku tespit edildi. Yapılan tetkikler sonucu ciddi bir hastalık olmadığı belirlenen hasta, erken tanı ve doğru tedavi sayesinde sağlığına kavuştu.
Göğüs Hastalıkları Uzmanı Uzm. Dr. Hilal Sayma tarafından muayene edilen hastaya ileri tetkik amacıyla bronkoskopi işlemi uygulandı. Bronkoskopi sonucunda lezyonun kanser veya tüberküloz gibi ciddi hastalıklarla ilişkili olmadığı belirlenerek, hasta için uygun tedaviye başlandı.
İki haftalık tedavi sürecinin sonunda yapılan kontrollerde lezyonun neredeyse tamamen gerilediği görüldü. Sağlığına kavuşan hastanın taburcu edildiği ve durumunun iyi olduğu öğrenildi.

Uşak’ta iki katlı ev yangında küle döndü: Karı-koc...

Çorum’da feci olay: Yem karma makinasına düşen işç...

Çerkezköy çevre yolunda kaza: 3 yaralı

Antalya-Konya karayolunda kar yağışı başladı

Uşak’ta otomobil şarampole devrilip takla attı: 1 ...

Kamyonet zincirleme kazaya neden oldu... O anlar k...

Malatya’da uyuşturucu operasyonu: 2 gözaltı

Kontrolden çıkan otomobil tünel girişinde takla at...

Mersin’de bakliyat fabrikasına silahlı saldırı

İnegöl’de 9 kaçak göçmen yakalandı

DEM Parti Iğdır İl Başkanı Deniz Kaynar tutuklandı...

Tekirdağ’da tekstil geri dönüşüm fabrikasında yang...

Ordu’da yangın ihbarı ekipleri harekete geçirdi

Trabzon’da motosiklet kazası: 1 yaralı

Gaziantep-Kahramanmaraş karayolunda kar esareti

Pakistan’daki AVM yangınında can kaybı 67’ye yükse...

Seyir halindeki otomobil alev topuna döndü: Aracın...

Çorum’da kar yağışı kazayı beraberinde getirdi: 7 ...

Eskişehir’de üçüncü kattan düşen şahıs ağır yarala...

Erzincan-Sivas karayoluna çığ düştü

Adnan Oktar suç örgütünün kilit ismi Muğla’da yaka...

Youtube’da ’görev’ adı altında milyonluk vurgun ya...

Kar yağışı Sivas’ı esir aldı, birçok karayolu ulaş...

Osmaniye’de şiddetli rüzgar sundurma çatısını yeri...

TAG Otoyolu Gaziantep kesiminde kar esareti: Çok s...

Samsun Cumhuriyet Başsavcılığından 12 bıçak darbes...

Kaynar suya benzin dökülen evde patlama: 2 yaralı

İzmir’deki feci kazanın görüntüleri ortaya çıktı

Elazığ’da sokak ortasında tekme tokat kavga: O anl...

Büyükçekmece’de feci kaza: Otomobilin çarptığı ada...

Çorum’da ağaca çarpan otomobil takla attı: 4 yaral...

Ordu’daki kazada ağır yaralanan genç kadın hayatın...

Bursa’da kaçak masör operasyonu: 3 kişi yakalandı,...

Konya’da kafedeki kavgada ölen genç toprağa verild...

Otobüste tartıştığı genci darbeden şüpheli yakalan...

3 yıldır aranan, 17 yıl 6 ay hapis cezası bulunan ...

Muş’ta kadınlara yönelik KADES bilgilendirmesi

TAG Otoyolu Gaziantep kesiminde çok sayıda kaza me...

Serik’te uyuşturucu operasyonu: 25 gözaltı

Muş’ta park halindeki tırda yangın

Drift yapan lüks otomobil sürücüsüne 58 bin 217 li...

Muş’ta 9 yıl 2 ay hapis cezası bulunan şahıs yakal...

Bursa’nın yüzlerce yıllık simgeleri Osmangazi’de p...

Sanatçı Beyazıt Öztürk’ten İGA İstanbul Havalimanı...

Bursa’da acı son...Kiralamak istediği 17. kattaki ...

İzmir’deki Meslek Fabrikasının tahliyesine mahkeme...

Güllü’nün oğlu Gülter, "Açıkçası tutuklanmasını be...

Çorum’da mahsur kalan araçlar için ekipler seferbe...

Esat Yontunç sağlık kontrolünden geçirildi

Şanlıurfa’da bir yılda 20 milyon 632 bin 142 muaye...

Kuşadası’nda selin yaraları sarılmaya çalışılıyor

Kamyonun çarptığı 77 yaşındaki yaya hayatını kaybe...

Yüksekova ’Buz Devri’ni yaşıyor: Araçlara brandalı...

Otoyoldaki feci kazada ölen genç son yolculuğuna u...

Antalya’da otel odasında şüpheli ölüm

Fatih’te 3 katlı binada çıkan yangın paniğe neden ...

Antalya’da yaşlı kadın evinde ölü bulundu

MEM’de kanun ve piyano yankılandı

Sivas’ta ulaşıma kar engeli: Sivas-Malatya ve Siva...

Balıkesir açıklarında 3’ü çocuk 29 göçmen yakaland...

Bozcaada’da sokaklar göle döndü

Kazada genç kurye ağır yaralandı

Kütahya’da kayıp yaşlı adam donmak üzereyken bulun...

Sakarya’da 32 düzensiz göçmen yakalandı

Sivas’ta tır dorsesine gizlenen 25 kaçak göçmen ya...

Güllü’nün kızının eski nişanlısı Kervan Eminoğlu a...

OMÜ’de yetiştirilen görev köpeği ’Pars’, Samsun Em...

Tarsus’ta kadınlara sağlık ve güvenlik eğitimi

0.5° / -2.6°

Uşak’ta iki katlı ev yangında küle döndü: Karı-koca dumandan etkilendi

Çorum’da feci olay: Yem karma makinasına düşen işçi hayatını kaybetti

Çerkezköy çevre yolunda kaza: 3 yaralı

Antalya-Konya karayolunda kar yağışı başladı

Uşak’ta otomobil şarampole devrilip takla attı: 1 ölü, 3 yaralı

Kamyonet zincirleme kazaya neden oldu... O anlar kamerada

Malatya’da uyuşturucu operasyonu: 2 gözaltı

Kontrolden çıkan otomobil tünel girişinde takla attı: 1 yaralı

Mersin’de bakliyat fabrikasına silahlı saldırı

İnegöl’de 9 kaçak göçmen yakalandı

DEM Parti Iğdır İl Başkanı Deniz Kaynar tutuklandı

Tekirdağ’da tekstil geri dönüşüm fabrikasında yangın

Ordu’da yangın ihbarı ekipleri harekete geçirdi

Trabzon’da motosiklet kazası: 1 yaralı

Gaziantep-Kahramanmaraş karayolunda kar esareti

Pakistan’daki AVM yangınında can kaybı 67’ye yükseldi

Seyir halindeki otomobil alev topuna döndü: Aracının yanışını çaresizce izledi

Çorum’da kar yağışı kazayı beraberinde getirdi: 7 yaralı

Eskişehir’de üçüncü kattan düşen şahıs ağır yaralandı

Erzincan-Sivas karayoluna çığ düştü