Akciğer damarındaki pıhtıların tanısında radyasyonsuz çözüm
SAĞLIK 23.02.2026 10:30:53 0

Akciğer damarındaki pıhtıların tanısında radyasyonsuz çözüm

Akciğer damarındaki pıhtıların tanısında radyasyonsuz çözüm

DENİZLİ (İHA) – Özel Denizli Tekden Hastanesinde bir dönem başarılı çalışmalara imza atan Radyoloji Uzmanı Dr. Nevzat Karabulut ve ekibinin, akciğer damarındaki pıhtıların tanısına dadyasyonsuz çözüm sağlayan bilimsel çalışması uluslararası literatürde yankı uyandırdı.

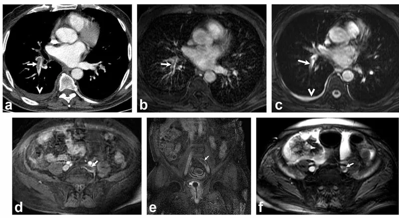
Bir dönem Denizli Tekden Hastanesinde de çalışan ve çalışmalarına ABD’de devam Dr. Nevzat Karabulut ve ekibinin yaptığı, British Journal of Radiology dergisinde yayımlanan "Diagnostic performance of contrast-enhanced and unenhanced combined pulmonary artery MRI and magnetic resonance venography techniques in the diagnosis of venous thromboembolism" başlıklı araştırmada manyetik rezonans (MR) yöntemi kullanılarak hem akciğer damarlarının hem de pıhtının kaynağı olan bacak toplardamarlarının aynı anda, tek bir incelemede değerlendirilebileceği gösterildi. Toplam 44 hastanın incelendiği çalışmada elde edilen sonuçlar oldukça dikkat çekti.

Kontrastlı MR yöntemi, hastaların tamamında akciğer embolisini doğru şekilde tespit ederken; kontrastsız MR yöntemi de yüksek doğruluk oranına ulaştı ve önemli ölçüde güvenilir sonuçlar verdi. Bu bulgular, radyasyon içermeyen MR yönteminin pıhtı hastalığını saptamada güçlü bir alternatif olduğunu ortaya koydu. Özellikle Radyasyon riskinin daha önemli olduğugenç hastalarda ve gebelerde MR’ın güvenli ve etkili bir seçenek olabileceği vurgulandı.

2025 Yılında Önemli Bir Uluslararası Atıf
Dr. Karabulut’un bu çalışması, 2025 yılında yayımlanan kapsamlı bir meta-analizde önemli bir uluslararası dergide atıf aldı. Toplam 2 bin 611 hastanın yer aldığı bu meta-analizde Dr. Karabulut ve ekibinin yaptığı MR çalışması da bulundu. Meta-analiz sonuçlarına göre, geleneksel V/Q sintigrafisi (nükleer tıp yöntemi) ile yapılan incelemelerde tanı konulamayan vakaların oranı yaklaşık yüzde 34,7 olarak bulundu. Yani her üç hastadan birinde sonuç net olmayabiliyordu. Buna karşılık MR temelli yöntemlerde tanı konulamayan oran yalnızca %3,31 olarak rapor edildi. Bu oran, MR tekniklerinin çok daha net ve yorumlanabilir sonuçlar verdiğini ortaya koydu.

Araştırmacılar, çalışmalar arasında raporlama farklılıkları olabileceğine dikkat çekmekle birlikte, MR yöntemlerinde "tanı konulamama" oranının belirgin şekilde düşük olduğunu özellikle vurguladı. Bu durum, MR’ın pıhtı hastalığının değerlendirilmesinde güçlü ve güvenilir bir alternatif olduğunu destekleyen önemli bir bulgu olarak değerlendirildi. Ayrıca, halen Porto Riko’da yapılmakta olan Amerikan Toraks Görüntüleme Derneğinin STR 2026 toplantısında da Karabulut ve ekibinin çalışmalarının MR’nin akciğer hastalıklarının tanısında kullanımına öncülük yaptığı vurgulandı.

Dr. Nevzat Karabulut’un kıdemli yazarı olduğu bu çalışma, pıhtı hastalığının radyasyon olmadan teşhis edilmesine yönelik önemli kilometre taşlarından biri olarak kabul edildi. Araştırmanın uluslararası dergilerde atıf alması, Türk bilim insanlarının dünya tıbbına yaptığı katkının güçlü bir örneği olarak öne çıktı.

Bilimsel Etki ve Uluslararası Tanınırlık
Uluslararası literatürde yankı uyandıran çalışma hakkında bilgi veren Dr. Nevzat Karabulut, "Akciğer embolisi, genellikle bacak damarlarındaki pıhtının dolaşımla akciğer damarını tıkaması sonucu oluşan ve zamanında fark edilmediğinde hayati tehlike oluşturabilen acil bir tıbbi durumdur. Bugün bu hastalıkları teşhis etmek için en sık Radyasyon içeren ilaçlı bilgisayarlı tomografi (BT) anjiyografisi kullanılıyor. Ancak Radyasyon ve kullanılan kontrastlı madde özellikle hamileler, genç hastalar ve kontrast maddeye alerjisi olan kişiler için risk oluşturabilir. Bu nedenle doktorlar radyasyon içermeyen ve daha güvenli alternatif yöntemler üzerinde çalışmaktadır. Ekibimle birlikte yapılan bilimsel çalışmanın büyük uluslararası araştırmalarda kaynak olarak gösterilmesi, o çalışmanın ne kadar değerli ve etkili olduğunu gösterir. Bu durum, yapılan araştırmanın sadece yayımlandığı dönemde değil, uzun vadede de bilim dünyasına katkı sağladığını ortaya koyar" dedi.

Elektrikli soba evi küle çevirdi

Elazığ’da asayiş uygulamaları: 243 olayda 242 şahı...

Dinamit patlamasıyla ölen şahsın uçuruma atıldığı ...

Mardin’deki uyuşturucu operasyonlarında 1 şüpheli ...

Aşırı yüklü kamyon kayarak iki aracı biçti; o anla...

Alanya’da ehliyetsiz sürücüye 60 bin TL ceza

Muğla jandarması son bir haftada 22 olaya müdahale...

Gazze’de can kaybı 72 bin 73’e yükseldi

Sivas’ta gayrimenkul vaadiyle 2.4 milyonluk vurgun...

Makas atan araç trafikte tehlike oluşturdu

Çeşitli suçlardan aranan 20 şüpheli tutuklandı

Uyuşturucu suçundan 13 yıl kesinleşmiş cezayla ara...

Op. Dr. Öztaş’tan hamilelere oruç uyarıları

Pursaklar’da Ramazan ayına özel etkinler başlıyor

3 buçuk yaşında piyano çalmaya başladı, 8 yaşında ...

Atatürk’ün Marmaris’e gelişinin 91. yıl dönümü tör...

Meriç Nehri taştı, ovalar su altında kaldı

Eski eşini eşarpla boğarak öldürmüştü, cinayeti na...

Anne-oğul 230 bin uyuşturucu hapla yakalandı: Oğlu...

Şırnak’ta 17,8 milyonluk kaçak ürün ele geçirildi:...

Şırnak’ta jandarma ekiplerinden asayiş, narkotik v...

Büyükşehir Diyetisyeni İpek Öztaş’tan sağlıklı bes...

Mersin Şehir Hastanesi’nde ilk kornea nakli başarı...

Karacabey Belediyesi’nden Ramazana yakışır kültür ...

Özel Sular Akademi Hastanesi’nde özel diyetle bir ...

Karabük’te EKT uygulaması başladı

Çorlu’da trafik kazası: 1 ağır yaralı

Bolu’da kontrolden çıkan otomobil takla attı: 1 ya...

Kahramanmaraş’ta uyuşturucu operasyonu, 2 şüpheli...

Tekirdağ’da denetimlerde uyuşturucu ele geçirildi:...

Şanlıurfa’da aynı istikamette giden iki tır çarpış...

Muğla’da çocuk cerrahisinde lazer dönemi

Efes’in 7 katı büyüklüğündeki Anavarza ile Kozan t...

Talas’ta Ramazan sahnesi dolu dolu

Bursa’da ’dur’ ihtarına uymadı, 10 kilometre kaçtı...

Sokak ortasında tüfekle rastgele ateş açıldı: Saçm...

Sahte altın ile 15 kişiyi dolandırmışlar: 2 gözalt...

Magandalıkta sınır tanımadı, pompalıyla ateş açıp ...

Diyetisyen Deniz Mutluer: "Lipödeme karşı Akdeniz ...

74 yaşındaki Hakime teyzenin resim tutkusu

Edebiyatın büyük ustası Yaşar Kemal Maltepe’de anı...

Gölbaşı’nda Ramazan akşamları yapılan etkinliklerl...

Adana’da 1 milyon 123 bin kaçak ilaç ele geçirildi...

Tuzla’da aracı sıkıştırıp şoförü darp eden sürücü ...

‘İyi kolesterol hayat kurtarıyor’

Kamış kalemin sabırla imtihanı: Tek eser için ayla...

Kütahya Antika Pazarı 37. kez açıldı

Bursa’da öğrencilerden gerçeği aratmayan özel efek...

Dünyaca ünlü fotoğrafçı Ahmet Ertuğ Trendyol Sanat...

Diyarbakır’da Sesli Kütüphane büyüyor

Mersin Büyükşehir Belediyesinin ücretsiz enstrüman...

Güney Kore’de 3 gündür devam eden orman yangınında...

Bilecik’te otomobil takla attı: 1 yaralı

Ramazan kolilerine yakın takip

Kuşadası’nda sürüklenen teknedeki iki kişi kurtarı...

"Orman Koruyucuları" hem eğlendirdi hem öğretti

Kültür-sanat alanında iş birlikleri için yol harit...

Batman’da kaçakçılık operasyonu

Adıyaman’da otomobil ile kamyon çarpıştı: 1 yaralı...

Artvin’de cami lojmanında yangın

Hassa’da trafik kazası: 4 yaralı

Samandağ’da metruk bina yangını

İnönü Üniversitesi’nde koklear implant ameliyatlar...

Akciğer damarındaki pıhtıların tanısında radyasyon...

Uzm. Dr. Doğan: "Acil serviste çocuk vakalarında a...

12.1° / 5.2°

Elektrikli soba evi küle çevirdi

Elazığ’da asayiş uygulamaları: 243 olayda 242 şahıs yakalandı

Dinamit patlamasıyla ölen şahsın uçuruma atıldığı iddiası

Mardin’deki uyuşturucu operasyonlarında 1 şüpheli yakalandı

Aşırı yüklü kamyon kayarak iki aracı biçti; o anlar kamerada

Alanya’da ehliyetsiz sürücüye 60 bin TL ceza

Muğla jandarması son bir haftada 22 olaya müdahale eti

Gazze’de can kaybı 72 bin 73’e yükseldi

Sivas’ta gayrimenkul vaadiyle 2.4 milyonluk vurgun operasyonu

Makas atan araç trafikte tehlike oluşturdu

Çeşitli suçlardan aranan 20 şüpheli tutuklandı

Uyuşturucu suçundan 13 yıl kesinleşmiş cezayla aranan şahıs yakalandı

AKOM'dan İstanbul için kar yağışı uyarısı

Atatürk’ün Marmaris’e gelişinin 91. yıl dönümü törenlerle anıldı

Meriç Nehri taştı, ovalar su altında kaldı

Eski eşini eşarpla boğarak öldürmüştü, cinayeti nasıl işlediğini anlattı

Anne-oğul 230 bin uyuşturucu hapla yakalandı: Oğlu tutuklandı, anneye adli kontrol

Şırnak’ta 17,8 milyonluk kaçak ürün ele geçirildi: 10 tutuklama

Şırnak’ta jandarma ekiplerinden asayiş, narkotik ve kaçakçılık operasyonu: 27 tutuklama

Karacabey Belediyesi’nden Ramazana yakışır kültür şöleni